-
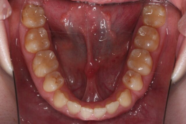
【17歳女性】前歯で咬めない、顎変形症(外科的矯正治療)
治療前
治療中
治療後
〖主訴〗:前歯でものが咬めない。顎の曲がりが気になる。
主症状:開咬、下顎前突、下顎左方偏位、叢生、舌突出癖
初診時年齢:17歳 女性
動的治療期間:2年6ヶ月
治療内容:本症例は骨格的なズレが大きく、歯の凸凹が強い症例であったため、上顎左右小臼歯2本抜歯による外科的手術を併用した矯正治療(外科的矯正治療)を行った。また、舌の癖も強かったため、MFT(筋機能訓練)を行いながら治療を行いました。適切な咬合関係が得られ、患者さんにも満足して頂けた症例です。
治療に用いた主な装置:マルチブラケット装置など治療費:保険診療基準に基づき、毎回処置時に支払い
治療におけるリスク:治療中の歯の痛みや歯肉退縮、歯根吸収等のリスクがあります。歯ブラシが不十分であると治療中に虫歯や歯肉炎をおこし、治療期間も余計にかかる心配があります。また、舌の癖が残っていたり、装置撤去後に保定装置をきちんと使用しないと後戻りを起こすので、保定装置の使用が大切です。その他外科手術におけるリスクが伴います。手術におけるリスクについては、提携している大学病院にて詳細に説明して頂けます。 -
-
【21歳女性】歯の凸凹と前歯で噛めない(開咬・オープンバイト)(抜歯治療)
治療前
治療中
治療後
〖主訴〗:歯の凹凸と前歯のかみ合わせが気になる
主症状:開咬、叢生、舌突出癖
初診時年齢:21歳 女性
動的治療期間:2年2ヶ月
治療内容:上顎の強い叢生と開咬症状を呈しており、前歯の突出も認めたため、上下顎小臼歯4本の抜歯を行い治療を行った症例です。また、舌の癖も強かったため、MFT(筋機能訓練)を行い、前歯のかみ合わせを改善するために、ゴムを使用していただきながら治療を行いました。患者さんの協力度が高く、良い結果が得られた症例です。
治療に用いた主な装置:マルチブラケット装置など治療費(税込):矯正費81万4千円 毎回の処置料5,500円
治療におけるリスク:治療中の歯の痛みや歯肉退縮、歯根吸収等のリスクがあります。歯ブラシが不十分であると治療中に虫歯や歯肉炎をおこし、治療期間も余計にかかる心配があります。また、舌の癖が残っていたり、装置撤去後に保定装置をきちんと使用しないと後戻りを起こすので、保定装置の使用が大切です。 -
-
【19歳男性】前歯の咬み合わせが気になる(開咬・非抜歯治療)
治療前
治療中
治療後
〖主訴〗:前歯のかみ合わせが気になる
主症状:開咬、舌突出癖
初診時年齢:19歳 男性
動的治療期間:1年
治療内容:開咬で奥歯の咬み合わせにもズレがあった症例でした。歯科矯正用アンカースクリューとゴムを患者さん自身に使用してもらいながら、前歯の咬み合わせと奥歯のかみ合わせを改善しまし、また、舌の癖を認めたためMFT(筋機能訓練)を行いながら治療を行いました。
治療に用いた主な装置:マルチブラケット装置など
治療費(税込):矯正費79万2千円 毎回の処置料5,500 円
治療におけるリスク:治療中の歯の痛みや歯肉退縮、歯根吸収等のリスクがあります。歯ブラシが不十分であると治療中に虫歯や歯肉炎をおこし、治療期間も余計にかかる心配があります。また、舌の癖が残っていたり、装置撤去後に保定装置をきちんと使用しないと後戻りを起こすので、保定装置の使用が大切です。 -
-
【15歳男性】すきっ歯と出っ歯を治したい(非抜歯治療)
治療前
治療中
治療後
〖主訴〗:すきっ歯と出っ歯が気になる。
主症状:空隙歯列、正中離開、上顎前突
初診時年齢:15歳 男性
動的治療期間:1年9ヵ月
治療内容:非抜歯治療にて出っ歯を改善した症例です。出っ歯を改善するため、上顎には矯正用アンカースクリューを使用し奥歯を固定することで、歯の隙間を閉じながら出っ歯の改善を行い、下顎は歯列を拡大し歯牙の配列を行い、上下の幅径の調和をはかり適切な咬合関係が得られました。
治療に用いた主な装置:マルチブラケット装置など治療費(税込):矯正費77万円 毎回の処置料5,500円
治療におけるリスク:治療中の歯の痛みや歯肉退縮、歯ブラシが不十分であると治療中に虫歯や歯肉炎をおこし、治療期間も余計にかかる心配があります。また、装置撤去後に保定装置をきちんと使用しないと後戻りを起こします。正中離開は後戻りをしやすいため、保定装置の使用が大切です。 -
-
【20歳女性】前歯の隙間、口元が出ている(抜歯治療)
治療前
治療中
治療後
〖主訴〗:前歯の隙間と口元が出ているのが気になる。
主症状:上下顎前突、空隙歯列、叢生、口唇閉鎖不全
初診時年齢:20歳 女性
動的治療期間:2年7ヵ月
治療内容:主訴である口元、出っ歯の改善のため、上下顎の左右第一小臼歯4本を抜歯し、アンカースクリューを固定源に上下前歯を後退させる治療を行いました。ご自身でかけるゴムも使用しましたが、患者さんの協力度も高く、出っ歯と口元の突出感も改善し、良好な側貌が得られたことで、患者さんにも満足して頂けた症例です。
治療に用いた主な装置:マルチブラケットなど
治療費(税込):矯正費79万2千円 毎回の処置料5,500円
治療におけるリスク:歯ブラシが不十分であると治療中に虫歯や歯肉炎をおこします。また、歯肉退縮によるブラックトライアングルや装置撤去後に保定装置をきちんと使用しないと後戻り起こすこともあります。前歯の後退量が多いため、歯根吸収を起こすリスクもあります。 -

















































































